Bị cướp đâm dao vào cánh tay, anh Nam 22 tuổi (Quảng Bình) chỉ tới trạm y tế xã để khâu. Đến khi vết thương sưng tấy chảy mủ, anh mới đi khám.
Bị cướp đâm dao vào cánh tay, anh Nam 22 tuổi (Quảng Bình) chỉ tới trạm y tế xã để khâu. Đến khi vết thương sưng tấy chảy mủ, anh mới đi khám.
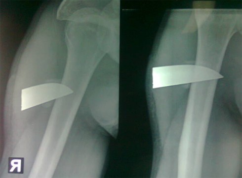
Ngày 28.10 các bác sĩ Bệnh viện Hữu nghị Việt Nam - Cu Ba Đồng Hới đã phẫu thuật và rút ra lưỡi dao dài gần 7 cm trong cánh tay của bệnh nhân Trần Bắc Nam, 22 tuổi ở xã Xuân Trạch, huyện Bố Trạch.
Bệnh nhân cho biết, 4 tháng trước anh bị cướp dùng dao uy hiếp, đâm một nhát vào cánh tay trái khi hai bên giằng co. Anh tới trạm xá khâu vết thương, gần đây chỗ khâu có biểu hiện sưng tấy, mưng mủ.

Ảnh chụp X-quang mũi dao nằm xuyên vào tay bệnh nhân.
Chụp X-quang, các bác sĩ phát hiện dị vật trong vết thương, phẫu thuật lấy ra lưỡi dao còn mới.
Theo các bác sĩ, may mắn là lưỡi dao cắm sâu vào tận xương nên không di chuyển, không ảnh hưởng đến các tổ chức xung quanh. Nếu không, bệnh nhân có thể liệt cánh tay vì lưỡi dao cắt đứt dây thần kinh, cơ, mạch máu bên cạnh.
Theo VnExpress